ՔԱՂԱՔԱԿԱՆ
ՄԻՋԱԶԳԱՅԻՆ
ՀԱՍԱՐԱԿՈՒԹՅՈՒՆ
ՏՆՏԵՍՈՒԹՅՈՒՆ
ՎԵՐԼՈՒԾԱԿԱՆ
ՄՇԱԿՈՒՅԹ
ՍՊՈՐՏ
ԲԼՈԳ
ԼԱՅՖ
ՎԻԴԵՈ
Երևան,
03.Փետրվար.2026,
00
:
00
Հայերեն
Русский
English
ՀՐԱՏԱՊ
12:27
Ջուր չի լինելու որոշ ժամանակ
9:14
Ի՞նչ իրավիճակ է ՀՀ ավտոճանապարհներին
16:03
Եղանակի տեսություն. ինչ եղանակ է սպասվում
12:46
ԱՄՆ-ը պարտադրում է իր մոդուլային ատոմակայանը
10:40
Կապիկի ծաղիկն արդեն Ռուսաստանում է. ի՞նչ սպառնալիքներ է ներկայացնում նոր վիրուսը
14:20
Ինչպիսի՞ եղանակ է սպասվում հանրապետությունում
9:55
Փոշու պարունակությունը գերազանցել է սահմանային թույլատրելի կոնցենտրացիան Երևանի 4 վարչական շրջաններում
9:44
ՀՀ միջպետական և հանրապետական նշանակության բոլոր ավտոճանապարհները բաց են
9:21
Ջուր չի լինելու․ հասցեներ
15:46
Ինչ եղանակ կլինի հունվարի 30-31-ին
10:34
1 օր ջուր չի լինելու
9:18
ՀՀ մի շարք տարածաշրջաններում թույլ ձյուն է տեղում․ իրավիճակը՝ ավտոճանապարհներին
Լրահոս
2017-05-23 15:28:24
Մհերի հարսանիքը կկայանա հունիսին. Մանրամասներ երգչի ընտրյալի մասին
2017-05-23 15:00:47
Տղամարդիկ երեխա չունենալու համար տառապում են կանանցից ոչ պակաս
2017-05-23 14:53:02
Գոռ Հակոբյանի կինը նոր լուսանկար է հրապարակել
2017-05-23 14:47:19
Ինչպե՞ս հաղթահարել բաժանումը. հոգեբանի խորհուրդները
2017-05-23 14:38:01
Մարմնի հոտը եւ դեմքի մազերը հարաբերությունների դադարեցման գլխավոր պատճառներն են
2017-05-23 14:24:10
Տղամարդու առողջությունը կախված է կնոջ ինտելեկտից
2017-05-23 14:14:51
Ռուս օլիգարխի 27-ամյա մոդել կինը ցուցադրել է ամուսնության տարեդարձի նվերը․ 10մլն դոլար արժեցող 70 կարատ ադամանդե մատանի (ֆոտո, վիդեո)
2017-05-23 14:08:10
Մայրական բնազդը տղամարդկանց մոտ զարգացած է կանանցից ոչ պակաս
2017-05-23 14:03:24
Ինչպե՞ս բարձրացնել ինքնագնահատականը. խորհուրդներ հոգեբանից
2017-05-23 13:56:16
Ո՞ր սննդատեսակն է առավել օգտակար տարեցների համար
2017-05-23 13:53:41
Ալկոհոլը չի վնասում հղի կանանց եւ նրանց երեխաներին
2017-05-23 13:46:34
Աշոտ Տեր-Մաթևոսյանը հաստատեց, որ ինքն ու Սոֆյա Պողոսյանը միասին են (ֆոտո)
2017-05-23 13:21:09
Արիանա Գրանդեն մեկնաբանել Է ահաբեկչությունը Մանչեսթրում կայացած իր համերգի ժամանակ
2017-05-23 12:56:15
Ի՞նչ անել, եթե ձեր ընկերուհին նախանձում է ձեզ
2017-05-23 12:53:50
«Կյանքում ոչ մի բան հեշտ չի տրվում». Մոնիկա Մխիթարյան
2017-05-23 12:52:58
«Օճառե պղպջակներ». հոգեբանական թեստ՝ ինքներդ ձեզ բացահայտելու համար
2017-05-23 12:42:45
Քորթնի Քարդաշյանը հանդիպում է իրենից 14 տարով փոքր մոդելի հետ (ֆոտո)
2017-05-23 12:34:23
Հայրս զբաղվել է աճպարարությամբ, բայց հիմա եմ հասկանում, թե իրական աճպարարությունը որն է. Սիրուշո
2017-05-23 12:19:43
Տևական դադարից հետո Վարդան նոր լուսանկար է հրապարակել՝ ցուցադրելով իր կախարդական կազմվածքը (ֆոտո)
2017-05-23 12:11:42
«Իմ սեր». Սիլվա Հակոբյանի նոր լուսանկարը քննարկումների առիթ է դարձել
2017-05-23 11:52:12
Հղի կնոջ սննդակարգը
2017-05-23 11:46:06
Ահա թե ինչպես է դիմավորել իր ծննդյան տարեդարձը Մարիամ Մելիքյանը (Photo)
2017-05-23 11:07:43
Լոռու մարզում կին հովիվը դժգոհում է գայլերի վտանգից
2017-05-23 10:41:54
Թևատակերը հեշտությամբ սպիտակեցրեք ընդամենը 3 րոպեում. բնական միջոց
2017-05-23 10:37:45
Թմրամոլ վարորդը գիտակցությունը կորցրել էր հենց ճանապարհի մեջտեղում․ ահա արդյունքը (Photo)
2017-05-23 10:27:31
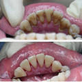
Արդյունավետ տնային հեղուկ բերանը ողողելու համար, որն ընդամենը 2 րոպեում վերացնում է ատամնափառը
2017-05-23 10:16:45
Սենյակում դրեք ջրով, աղով և քացախով լի բաժակ և 24 ժամից դուք կտեսնեք փոփոխությունը
2017-05-23 09:56:16
Օրվա բաղադրատոմս. Աղցան «Սիրահար» (ֆոտո)
2017-05-23 01:09:05
Ֆուտբոլի ազգային հավաքականի հայտնի ֆուտբոլիստը տոլմա է պատրաստել Եկատերինբուրգի ռեստորաններից մեկում (Video)
2017-05-23 00:43:24
Հին պատռված զուգագուլպան իսկական գանձ է. երբեք չէի մտածի № 3-ի մասին
Հաջորդ էջ
Լրահոս
Կաթողիկոս Գարեգին Բ-ն ամուր, վճռականությամբ կանգնած է՝ պաշտպանելու իր ազգին ու հոտին. Ջոն Էյբներ
Մարիամ Փաշինյանի աշխատավարձը մեկ տարի անց աճել է 4.2 միլիոն դրամով
Ջուր չի լինելու 1 օր․ հասցեներ
«Յուրաքանչյուր օրը պետք է ապրել լիարժեք, որովհետև չգիտենք, թե ինչ է սպասվում վաղը». Արա Ղազարյան
Երևանում մի խումբ երիտասարդներ ծեծի են ենթարկել ՌԴ քաղաքացուն
Տեղեկությունը, թե Սամվել Կարապետյանը տեղափոխվել է հիվանդանոց, չի համապատասխանում իրականությանը. Մարիաննա Ղահրամանյան
Մեզ համար ընդունելի մոդելը նախագահական է․ Արշակ Կարապետյան
Ոստիկանները ապօրինի շրջանառությունից հանել են մոտ 2,5 կգ մեթամֆետամին (տեսանյութ)
Թող իշխանություններն ասեն՝ ինչու՞ հրաժարվեցին Արցախյան հարցի խաղաղ կարգավորումից․ Ավետիք Չալաբյան
Ես ՀՀ նախագահին չեմ լիազորել իմ անունից շնորհակալություններ ասելու Ալիևին. ակցիայի մասնակից
Հայաստան ներմուծված բենզինը գների վրա կունենա ազդեցություն, բայց ոչ մեծ. դա կախված կլինի ծավալից. ԿԲ նախագահ
2025–ին կրճատվել է պետական կառավարաման համակարգի կողմից 1 անձից գնումների ծավալը
Օպերատիվ-հետախուզական և բացատրական աշխատանքի արդյունքում հայտնաբերվել են հետախուզվողներ
Մենք կկարողանանք լուծել օդի աղտոտվածության հարցը. Նարեկ Կարապետյանի և համակիրների հարցուպատասխանը
Գուգարքում ռեստորանի սեփականատերը հրացանով կրակել է շանը. փաստաթղթերը ներկայացվել են քննչական վարչություն
Արտառոց դեպք՝ Արարատում․ դպրոցի բակում ձնագնդի խաղալու ժամանակ 14-ամյա երեխան ընկել է և ստացել մարմնական վնասվածք
Բռնություն իրականացրած և հայհոյանքներ hնչեցրած ոստիկանի լիազորությունները կասեցվել են
Ախուրյանում լույս աշխարհ է եկել հերոս Արթուր Մխիթարյանի եղբայրը
Ինչու չի կարելի երեխաներին «Զիրտեկ»․ ինչ վտանգներ է պարունակում հայտնի դեղամիջոցը
Ավանեսյանը կմնա՞ առանց պաշտոնի. նախարարությունները միավորվելու են
Ավստրիայում կայանալիք եպիսկոպոսաց ժողովը՝ հարցականի տակ
Շնորհակալություն հայտնել ինչի՞ համար՝ մեր զոհերի, թող ներողություն խնդրի. Նաիրա Գևորգյան
Տեղի է ունեցել ոչ թե սահմանազատում, այլ ՀՀ տարածքների միակողմանի զիջում․ Ավետիք Քերոբյան
Շուկաներից մեկում խոշոր հրդեհ է բռնկվել
Ինչու Հայաստանում բարձրացվեց գույքահարկը. Հրայր Կամենդատյան
Ալիևը քարտ–բլանշ է տալիս Փաշինյանին
129 մլրդ դրամը բավարա՞ր է, թե՞ պետպատվերի նման է լինելու. Նաիրի Սարգսյանը՝ Առողջության համընդհանուր ապահովագրության մասին
Ռուսաստանը ձևակերպում է իր նարատիվները ՀՀ հետ շփումներում
Նախընտրական գործընթացին hարձակումներն ավելի վատն են լինելու. պետք է առիթ չտանք. Նարեկ Կարապետյան
Նախևառաջ պետք է կոռուպցիան վերացնել կրթական համակարգում․ Ցոլակ Ակոպյան
Արցախի ազատագրումն ամբողջ հայության ազատագրումն էր՝ որպես գաղափար և ազգային զարթոնք․ Արսեն Գրիգորյան
Վահագն Խաչատուրյա՛ն, դե արի Եռաբլուր ու տղավարի կանգնի ու ասա՝ ի՞նչ արեցիր․ թեժ իրավիճակ
Փետրվարի 3-ին սպասվում են տեղումներ՝ ձնախառն անձրևի տեսքով
Բողոքի ակցիա՝ նախագահականի դիմաց․ ո՞վ ես դու, որ շնորհակալ ես Ալիևին
Սև կոնը, ցարին մատուցած ծառայություններն ու բացառիկ գինին. «Փաստ»
ՊԱՏՄՈՒԹՅԱՆ ԱՅՍ ՕՐԸ (3 ՓԵՏՐՎԱՐԻ)․ Հարավային Ավստրալիան ճանաչել է Արցախի ինքնորոշման իրավունքը. «Փաստ»
Նարկոզի ժամանակ 15-ամյա աղջիկ էր մաhացել․ ո՞վ է մեղավոր
Կոչ են անում դադարեցնել պետության միջամտությունը Հայ առաքելական եկեղեցու գործերին. «Փաստ»
Ջուր չի լինելու որոշ ժամանակ
Ինչը ինչով է պետք փոխարինել. Վահե Հովհաննիսյան
Արշակ Սրբազանի կալանքը 2 ամսով երկարացվեց
Փաշինյանի կուսակցությունը ընտրություններից առաջ կֆինանսավորվի կրիպտոարժույթի և այլ ստվերային սխեմաների միջոցով. «Փաստ»
Չեմ ուզում հավատալ, որ կան հայ մարդիկ, որոնք Հայաստան–Թուրքիա սահմանի բացման պահին ուզում են տեսնել մեր պետությունը՝ օրենքի տեսանկյունից անպաշտպան և խոցելի. Մարուքյան
ՀՀ կառավարությունն իր ուժը զենք է դարձրել մեր եկեղեցու դեմ․ Արամ Վարդևանյանի ելույթը IRF գագաթնաժողովում
«Աստված և իմ երեխաներն են ինձ ուժ տվողը». կամավոր Վարդան Մադաթյանն անմահացել է հոկտեմբերի 18-ին Ջրականում, տուն «վերադարձել»... չորս ամիս անց. «Փաստ»
Այն մասին, թե ինչ ենք մենք պատրաստ անել՝ պաշտպանելու մեր քաղաքացիների քվեն այն գողանալ ցանկացողներից. Ավետիք Չալաբյան
Քրեական հետապնդում ժողով անելու համար․ հանցագործություն օրը ցերեկով. Էդմոն Մարուքյան
Իններորդ դասարանի աշակերտը հարձակվել է դպրոցի վրա
Պաշտպանական վերափոխումը՝ Հայաստանի գոյատևման երաշխիք-2. «Փաստ»
Վառելիքի ցիստեռնի վթարի հետևանքով երեխա է մահացել
Ամբողջ լրահոսը »
Ամենադիտված
1
Զինված ուժերի նախկին զինծառայողը կրակել և սպանել է չորս ոստիկանի
2
Հունվարի 29-ին և 30-ին ջուր չի լինելու
3
Եկեղեցու դեմ շարժման «դեմքերից» մեկը․ ինչ է բացահայտում Վազգեն Միրզախանյանի անցյալը
4
Իրանի հարավում երկրաշարժ է տեղի ունեցել
5
Ինչ եղանակ կլինի հունվարի 30-31-ին
Հարցում