ՔԱՂԱՔԱԿԱՆ
ՄԻՋԱԶԳԱՅԻՆ
ՀԱՍԱՐԱԿՈՒԹՅՈՒՆ
ՏՆՏԵՍՈՒԹՅՈՒՆ
ՎԵՐԼՈՒԾԱԿԱՆ
ՄՇԱԿՈՒՅԹ
ՍՊՈՐՏ
ԲԼՈԳ
ԼԱՅՖ
ՎԻԴԵՈ
Երևան,
03.Մարտ.2026,
00
:
00
Հայերեն
Русский
English
ՀՐԱՏԱՊ
11:05
Վթար. մի շարք հասցեներում ջուր չի լինելու
11:55
Էլեկտրամատակարարումը կդադարեցվի․ Հասցեներ
14:21
Oդի ջերմաստիճանը կտրուկ կփոխվի
9:24
Ի՞նչ եղանակ սպասել գարնան առաջին օրերին․ ձյո՞ւն կլինի
14:55
Սպասվում են տեղումներ, ձյուն, անձրև․ եղանակի տեսություն
11:38
ՀՀ տարածքում ավտոճանապարհները հիմնականում անցանելի են
10:04
Երկար ժամանակ ջուր չի լինի
16:38
Ցուրտ ձմեռը վերադառնում է
12:54
Ջրամատակարարումը կլինի 17-ժամյա ռեժիմով
10:29
Ո՞ւմ կենսաթոշակները կբարձրանան և որքանով. ներկայացրել է Արսեն Թորոսյանը
9:48
«Զվարթնոց» միջազգային օդանավակայանը ճանաչվել է «ASQ Customer Experience Awards»-ի մրցանակակիր՝ երկու անվանակարգում
9:26
Ապրիլի 1-ից թոշակները կբարձրանան
Լրահոս
2016-03-14 09:22:22
Ահա, թե ինչ տեղի կունենա ձեր մարմնի հետ, եթե մեկ ամիս շարունակ օրը երկու բանան ուտեք
2016-03-14 03:58:24
Ինչպե՞ս ազատվել սխտորի հոտից
2016-03-14 00:31:21
Համատեղ քուն երեխայի հետ. ճի՞շտ է, թե՞ սխալ
2016-03-13 23:58:13
Ահա, թե ինչ տեղի կունենա ձեր մարմնի հետ, եթե մեկ ամիս շարունակ օրը երկու բանան ուտեք
2016-03-13 23:16:16
Ինչպես ընտրել հարսանեկան զգեստ՝ ըստ հորոսկոպի
2016-03-13 22:02:47
Ո՞վ է Արևիկ Ուդումյանի գեղեցկուհի քույրիկը. լուսանկարներ
2016-03-13 21:40:27
Ի՞նչ են նշանակում դեմքի և մարմնի խալերը
2016-03-13 21:03:59
Երիկամները մաքրող մթերքներ և խոտաբույսեր
2016-03-13 20:53:31
Ինչպիսին է այսօր «Դժվար ապրուստ» հեռուստասերիալի Սևոն. լուսանկարներ
2016-03-13 20:17:11
Ինչպես պետք է լվանալ գլուխը. պարզ խորհուրդներ
2016-03-13 19:35:34
Ինչ տեղի կունենա, եթե ամեն օր գազարի հյութ խմեք
2016-03-13 18:53:43
Հավատարմության հորոսկոպ, կամ ինչպես ստուգել Ձեր կողակցին
2016-03-13 18:07:13
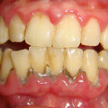
Ինչպե՞ս պաշտպանել ատամները կարիեսից՝ ընդամենը մեկ բաղադրիչի օգնությամբ (լուսանկար)
2016-03-13 17:43:29
Ահա, թե ինչ են պատմում կնոջ շուրթերը նրա մասին
2016-03-13 16:27:53
Առանց շպարի Իվետա Մուկուչյանը՝ մայրիկի հետ (լուսանկար)
2016-03-13 16:20:24
Անջելինա Ջոլին ու Բրեդ Փիթը «կիսել են» երեխաներին
2016-03-13 15:57:07
Ինչ է անհրաժեշտ լավ սեքսի համար
2016-03-13 15:47:37
Կենսաբանները պարզել են, թե ինչ առավելություններ պետք է ունենա օրգանիզմը գոյատևելու համար
2016-03-13 15:45:49
Հոլիվուդյան 8 կապուտաչյա աստղեր` շագանակագույն աչքերով
2016-03-13 15:40:40
Աստղային ոճ. Սոնա Ռուբենյան
2016-03-13 15:36:14
15 կանոն՝ աղջիկների հայրիկների համար
2016-03-13 15:11:18
Բրազիլիայում հայտնաբերվել է սողունի անհայտ տեսակ, որը ապրել է դինոզավրերից առաջ
2016-03-13 15:07:35
Հետույքները՝ դհոլի փոխարեն. Երաժշտությունը ծնվում է նաև այսպես. տեսանյութ
2016-03-13 14:42:34
«Արմենիա» հեռուստաընկերությունը սկսում է գարնանային նոր եթերաշրջանը
2016-03-13 14:19:51
Որն է օծանելիքի, պարֆյումի, օդեկոլոնի և պարֆյումային ջրի տարբերությունը
2016-03-13 14:00:26
Որ մատին է ճիշտ կրել մատանին. Մատանիների սիմվոլիկ նշանակությունը
2016-03-13 13:53:31
Ինչպես պահպանել գումարը դրամապանակում, որպեսզի դրանք ավելի շատանան
2016-03-13 13:29:32
Աշխարհի ամենաանհեթեթ ու ծիծաղելի 10 օրենքները (տեսանյութ)
2016-03-13 13:21:08
Այս աղջիկը ցանկացավ հարսանիքի օրը արհեստական թարթիչներ դնել. այն, ինչ տեղի ունեցավ դրանից հետո, սարսափելի է (լուսանկարներ)
2016-03-13 12:57:17
Սիրուշոյի գարնանային look-ն ու բջջային հեռախոսը (լուսանկար)
Նախկին էջ
Հաջորդ էջ
Լրահոս
Արբելոան մեկնաբանել է «Խետաֆեից» կրած պարտությունը և նշել մեղավորին
Նախընտրական «շորշոփներ». ինչո՞ւ է Նիկոլ Փաշինյանը հանկարծ փոխել իր հռետորաբանությունը. «Փաստ»
Երկրորդ պալատը որպես ժողովրդավարության երաշխիք․ ի՞նչ կառուցվածք պետք է այն ունենա
Կոտայքում «Lada Priora»-ն գլխիվայր շրջվել է
Պուշկինի փողոցում վիճաբանություն է եղել․ եղբայրները տեղափոխվել են ոստիկանություն,17-ամյա պատանին՝ ԲԿ
Ութոտնուկի գաղտնի մոլեկուլով արևային վահանակներն ավելի երկար են ծառայում
ԶՊՄԿ-ում շարունակվում է տեխնիկական սպասարկման և վերանորոգումների (ՏՍՎ) գործառույթի թվայնացման գործընթացը
«Իմ հողից բացի ուրիշ տեղ չեմ կարող ապրել, միայն Ճարտարում պետք է ապրեմ». կամավոր Կամո Հարությունյանն անմահացել է հոկտեմբերի 31-ին «Մարտունի 2»-ում. «Փաստ»
Պայքար կիբերհանցագործության դեմ. սոցիալական ծրագիր. Հրայր Կամենդատյան
Սոցիալական ցանցերի մուտքի արգելք երեխաների համար. սոցիալական ծրագիր. Հրայր Կամենդատյան
Այն մասին, թե ինչու իշխանափոխությունից հետո պետք է պահպանվի «Ապօրինի գույքի բռնագանձման» մասին օրենքը, և ինչպես այն պետք է կիրառվի գործող վարչախմբի երևելիների նկատմամբ. Չալաբյան
Վթար. մի շարք հասցեներում ջուր չի լինելու
Զարգացման իմիտացիան և խոշոր նախագծերի «փուչիկը»՝ որպես քաղաքական կապիտալի փիառային աղբյուրներ. «Փաստ»
Իսրայելը և Իրանը շարունակում են փոխադարձ հարվածներ հասցնել (տեսանյութ 18+)
Չարությունը, ագրեսիան, իրար ոչնչացնելու մոլուցքը կբերեն նոր աղետի․ Գագիկ Ծառուկյան
Ի՞նչ կա իրականում «սիրուն» թվերի տակ. տնտեսական ցուցանիշների ախտաբանական պատկերը. «Փաստ»
Ֆասթ Բանկն ու Mastercard միջազգային վճարային համակարգն ամփոփել են գործակցության երեք տարին
Ի՞նչ է լինում, երբ իրականությունը դուրս է գալիս ջրի երես. «Փաստ»
300 հազար աշխատատեղից մինչև 20 հազար մատչելի բնակարան
«Այս ամենը կեղծիք է և իրականության հետ ոչ մի աղերս չունի». «Փաստ»
«Գյումրիի սցենարը» որպես քաղաքական վախ․ ինչո՞ւ է իշխանությունը շտապում
Ու՞մ բախտը կբերի այսօր․ աստղագուշակ մարտի 3-ի համար
Կրկին ձյուն կտեղա՞․ եղանակն՝ առաջիկա օրերին
Սգո և հիշատակի օրերին ո՞ր գովազդի հեռարձակման արգելքը կվերացվի. նախագիծ. «Փաստ»
Պատմական հիշողության «տաբուներ». «Փաստ»
Քաղաքական կոնսոլիդացիայի սկիզբ. «Միասնության թևերի» և «ՀայաՔվեի» համատեղ հայտը. «Փաստ»
Վարկանիշը գետնին է հավասարվում, փրկել է պետք. «Փաստ»
Բոլորն էլ ընտրակաշառքի օրինակներ են. «Փաստ»
Պենտագոնի ղեկավարը հայտարարել է, որ Իրանում ամերիկյան զորքեր չկան
Իրավիճակը Վերին Լարսում
Պենտագոնի երկու բարձրաստիճան պաշտոնյաներ են սպանվել
Թրամփը բացահայտել է՝ որքան ժամանակ է ԱՄՆ-ն հատկացրել Իրանի ղեկավարությանը վերացնելու համար
Ավելի քան 1000 եվրո արժե Մասկատ- Երեւան չվերթի տոմսը
Նեթանյահուն խոստացել է Թրամփի հետ համատեղ ջանքեր գործադրել «աշխարհը փրկելու» համար
Մեծ Բրիտանիան ԱՄՆ-ին թույլատրում է օգտագործել իր ռազմաբազաները Իրանին հարվածելու համար․ Սթարմեր
Ատոմային էներգիայի միջազգային գործակալությունը Մերձավոր Արևելքում միջուկային օբյեկտների մոտակայքում որևէ ռազմական ակտիվություն չի գրանցել
Իրանի հարվածներն այնքան ուժգին են եղել, որ ամերիկյան ռազմակայանների մի մասը ջնջվել է երկրի երեսից
Կրկին ձյուն կտեղա՞․ եղանակն՝ առաջիկա օրերին
Ամենայն Հայոց Կաթողիկոսը Իրանի պատերազմից հետո մշտական կապի մեջ է հայկական համայնքների հետ
Ավարտվել է ըմբշամարտի մինչև 17 տարեկանների Հայաստանի առաջնությունը. հայտնի են հաղթողները
Հայտնի է՝ երբ կլինի Արման Ծառուկյանի հաջորդ գոտեմարտը
Թրամփը չի բացառել ԱՄՆ ցամաքային զորքեր Իրանում տեղակայելու հնարավորությունը
Մխիթարյանի փոխանցումը՝ մաքուր պոեզիա. «Ինտերը» հայերեն գրառում է կատարել
Կատարը իրանական Սու-24 ինքնաթիռներ է խոցել
Ոստիկանությունը առգրավել է շուրջ 30 կգ տարբեր տեսակի թմրամիջոցներ
ԱՄՆ-ի կողմից Իրանի դեմ գործողությունը կտևի 4-5 շաբաթ. Թրամփ
Կապանից և Սիսիանից ժամանակավորապես դադարեցվել է կցորդիչով բեռնատարների երթևեկությունը
Իրանի հարավում տարրական դպրոցի վրա հարձակման հետևանքով զոհերի թիվը հասել է 171-ի
Ֆրանսիան կմեծացնի իր միջուկային զինանոցը․ Մակրոն
Fly One Armenia-ի ինքնաթիռը Մասկատ է ուղևորվել՝ ԱՄԷ-ում մնացած ՀՀ քաղաքացիներին տարհանելու
Ամբողջ լրահոսը »
Ամենադիտված
1
Կյանքից վաղաժամ հեռացել է Հրայր Իսոյանը
2
Գեղարքունիքի մարզի N զորամասում զինվոր է մահացել
3
Փաշինյանի ամուսնալուծության նոր վարկած
4
Խոշոր ավտովթար Կոտայքի մարզում
5
Մահացել է հայտնի պարուսույց Պետրոս Աֆարյանը
Հարցում