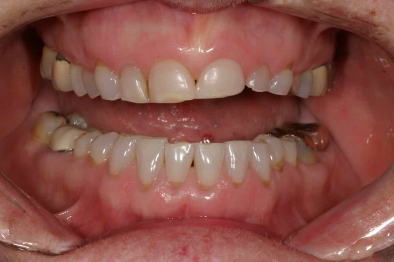
Բժիշկները թաքցնում են սա. ազատվեք կարիեսից մեկ բաղադրիչի օգնությամբ
ԼԱՅՖԿարիեսն ատամի կոշտ հյուսվածքներում ընթացող բարդ, դանդաղ պաթոլոգիական գործընթաց է, որն առաջանում է անբարենպաստ արտաքին և ներքին գործոնների հետևանքով: Խոռոչների վնասվածքի առաջացման վրա ազդող հիմնական գործոններն են՝ բերանի խոռոչի անբավարար հիգիենան, ծխելը, սթրեսը, սննդի շատ օգտագործումը, շաքարով հարուստ մթերքների օգտագործումը և այլն: Որպես կանոն՝ կարիես ունեցող ատամը ոչ մի կերպ չի տարբերվում, և կարող եք նույնիսկ չիմանալ, որ կարիես ունեք: Սակայն որոշ ժամանակ անց կարիեսով վնասված ատամը կարող է սկսել քայքայվել և առաջացնել ատամի ցավ, զգայնություն սառը կամ տաք սննդի նկատմամբ:
Այս նշանների առաջացման դեպքում պետք է անհապաղ արդյունավետ բուժում ձեռնարկեք կարիեսից ազատվելու համար: Հակառակ դեպքում կարող եք կորցնել ատամը: Ամենակարևոր բաղադրիչներից մեկը, որի կարիքն ունեն ատամները, կալցիումն է: Բոլորս գիտենք, որ կալցիումի ամենահարուստ աղբյուրը ձվի կեղևն է:
Եթ կարիեսի խնդիր ունեք, ձեզ պետք կլինի ձվի կեղևից ատամի մածուկ: Վերցրեք քառորդ բաժակ փոշիացրած կեղև, որը կարող եք ստանալ կեղևը բլենդերով մանրացնելով: Այդ փոշին խառնեք մի քանի կաթիլ անանուխի յուղի և 2 ճ. գ. կոկոսի յուղի հետ: Լավ խառենք բոլոր բաղադրիչները, ավելացրեք 1 ճ. գ. կերակրի սոդա: Շարունակեք խառնել բաղադիչները, մինչև մածուկ ստացվի: Մածուկը պահեք լավ փակած տարայով: Մածուկն օգտագործեք օրը 3 անգամ և կազատվեք ատամնաբուժական խնդիրներից:



