Ինչպե՞ս պաշտպանել ատամները կարիեսից՝ ընդամենը մեկ բաղադրիչի օգնությամբ (լուսանկար)
ԼԱՅՖBlog.1in.am-ը գրում է.
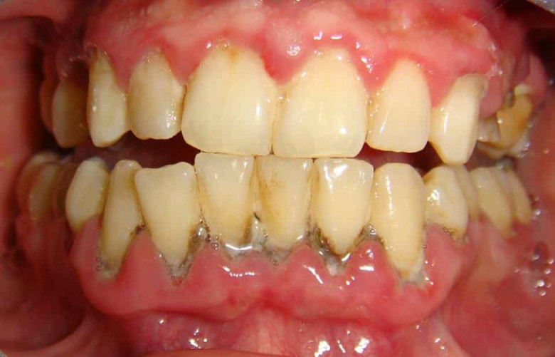
Ատամների առողջությունը պահպանելու համար բժիշկները խորհուրդ են տալիս օրական երկու ճաշի գդալ մեղր ուտել:
Նրանք կարծում են, որ մեղրի նման ծավալը ոչ միայն չի վնասի մարմնի կազմվածքին, այլև օգուտ կտա առողջությանը, մասնավորապես կլավացնի ատամի էմալի վիճակը:
Առաջին հայացքից նման հայտարարությունը կարող է տարօրինակ թվալ, քանի որ մեղրը քաղցր սննդատեսակ է:
Սակայն փորձագետները դրա բաղադրության մեջ գտել են ջրածնի պերօքսիդ, որն ընդունակ է խոչընդոտել կարիեսի և այն բաղադրիչի ձևավորմանը, որի շնորհիվ բակտերիաները հուսալիորեն ամրանում են ատամներին և քայքայում դրանց մակերեսը:
1
Հայրը 1 ժամ մալուխներով հոսանքահարել է դստերը. առանձնակի դաժանությամբ դեպք Մասիսում
2
Եղբայրները պատվի համար սպանել են իրենց 18-ամյա քրոջը
3
Գտել են գիշերն անհետացած 5-ամյա աղջկա մարմինը
4
Մայրը փորձել է փրկել 7-ամյա տղային, բայց 2-ն էլ խեղդամահ են եղել
5
Հանրայինում «չներեցին». Լուսինե Թովմասյանի հեռացումը՝ աղմկահարույց համերգի ստվերում




