Ազատվեք ատամնափառից, վատ շնչառությունից՝ ընդամենը 1 բաղադրիչի օգնությամբ
ՖՈՏՈLife.panorama.am-ը գրում է.
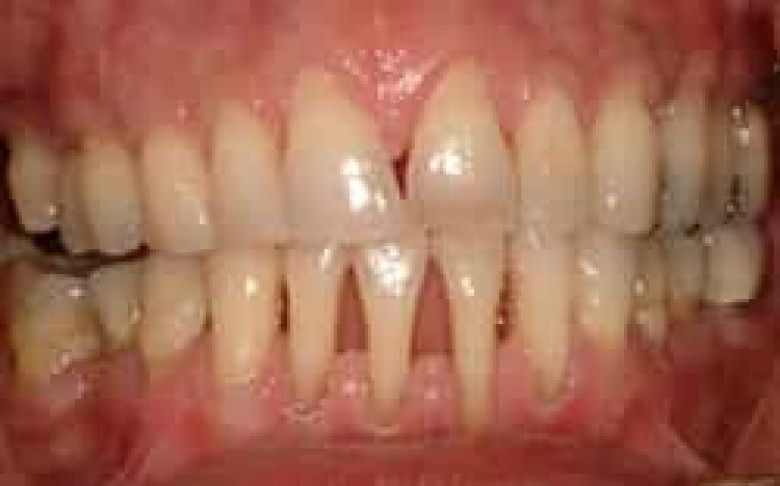
Ամենազոր կոկոսի յուղ․ միակ բաղադրիչը, որը կարող է ազատել ատամների խնդիրներից։ Այն կարող է սպանել բակտերիան, արդյունավետորեն հեռացնել ատամների փառը։
Այս խնդիրներից ազատվելու համար անհրաժեշտ է ընդամենը 2 ճաշի գդալ կոկոսի յուղը լցնել բերանը, պահել 5 րոպե և թքել։
Այս մեթոդը կիրառվում է երկար տարիներ։ Այն շատ ավելի արդյունավետ է, քան ատամի մածուկը։ Կան կարծիքներ, որ կոկոսի յուղը մաքրում է նաև արյունը, կանխում է քաղցկեղը։
Տրամադրեք օրական 5 րոպե, շաբաթվա մեջ 35 րոպե՝ առողջ լինելու համար։
1
Հայրը 1 ժամ մալուխներով հոսանքահարել է դստերը. առանձնակի դաժանությամբ դեպք Մասիսում
2
Եղբայրները պատվի համար սպանել են իրենց 18-ամյա քրոջը
3
Գտել են գիշերն անհետացած 5-ամյա աղջկա մարմինը
4
Մայրը փորձել է փրկել 7-ամյա տղային, բայց 2-ն էլ խեղդամահ են եղել
5
Ապրիլի 28-ին և 29-ին ջուր չի լինելու․ հասցեներ



