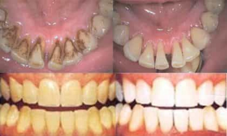
Սպիտակեցրեք ատամները ընդամենը 2 բաղադրիչի օգնությամբ
ԼԱՅՖՍտոմատոլոգները կոչ են անում հաճախ ուտել սև շոկոլադ, ելակ և խմել կանաչ թեյ։ Սա լավագույն հավաքածուն է նախաճաշի համար, եթե դուք ցանկանում եք ունենալ սպիտակ ատամներ։ Պարզվում է, տվյալ մթերքները կարող են ազատել գիշերվա ընթացքում առաջացած ատամնափառից։

Շոկոլադի մեջ կա տեոբրոմին՝ միացություն, որն ամրացնում է էմալը։ Իսկ ծածկույթի ամրության դեպքում ներկվելու ռիսկը նվազում է։
Կաթնային շոկոլադն այդպես չի ազդում։ Այն, հակառակը, սադրում է տհաճ հոտ՝ կաթի ու շաքարի պատճառով:
Սպիտակեցրեք ատամները ելակի ու կանաչ թեյի օգնությամբ

Կանաչ թեյը հարուստ է տանիններով։ Դրանք թույլ չեն տալիս բակտերիաներին կպչել ատամներին։ Այսինքն՝ պահպանվում է գույնը և շնչառության թարմությունը։ Գումարած՝ թեյը հարուստ է պոլիֆենոլով, որը հավաքում է բակտերիաներն ու թթուները։ Այն բարձրացնում է ֆտորի խտությունը բերանի խոռոչում։
Ելակը պարունակում է խնձորաթթու, որը մաքրում է ատամները։ Թվարկված մթերքներից բացի, Կացի կարծիքով, օգտակար է նաև պանիրը։ Այն բարձրացնում է pH-ի մակարդակը բերանում՝ միջավայրը դարձնելով պակաս թթվային։ Հատկապես, թթվությունն է էմալի քայքայման պատճառը։ Ի դեպ՝ պանիրում պարունակվող կալցիումը ամրացնում է ատամի հյուսվածքները։



