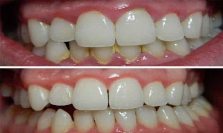
Խառնուրդ, որը 5 րոպեում կվերացնի ատամների փառը
ԼԱՅՖShabat.am-ը գրում է.
Ատամները մարմնի ամենակարևոր մասերից է, որը մենք խնամում ենք ամեն օր։ Ոչ պատշաճ խնամքի դեպքում ատամների վրա առաջանում է փառ՝ ծանր նյութ, որն ունի դեղին գույն, և տհաճ տեսք է հաղորդում ատամներին։
Այս միջոցը կօգնի ազատվել ատամների փառից մի քանի րոպեում։
Անհրաժեշտ բաղադրիչներն են՝
• Սոդա
• Ջրածնի պերօքսիդ
• Աղ
• Տաք ջուր
• Ատամի խոզանակ
• Ատամի փայտիկ
• Բերանի հականեխիչ հեղուկ (Listerine):
Կիրառման եղանակը
1․ 1 ճաշի գդալ սոդան ու կես թեյի գդալ աղը խառնել։ Ատամի խոզանակը թրջել տաք ջրով, թաթախել աղի ու սոդայի խառնուրդի մեջ և քսել ատամներին ու խոզանակով լվանալ 5 րոպե։
2․ 1 բաժակ տաք ջրի մեջ լցնել մի փոքր ջրածնի պերօքսիդ, խառնել և ողողել բերանը մի քանի րոպե, բերանից թափել խառնուրդն ու ողողել սառը ջրով։
3․ Ատամների փառը քերել ատամի փայտիկի միջոցով՝ զգուշանալով լնդերից։
4․ Բերանը ողողել հականեխիչ հեղուկով։
Այս պրոցեդուրան կատարել 2 օրը մեկ անգամ և ամբողջովին կազատվեք ատամների փառից ու կունենաք սպիտակ ատամներ։
1
Նոր տեղեկատվություն մինչև 12 տարեկան երեխա ունեցող ծնողների վերաբերյալ
2
«Ընկերներ ունեմ այստեղ, ես հող եմ պահում, ինչպե՞ս կարող եմ գալ». սերժանտ Սպարտակ Մնացականյանն անմահա...
3
48-ամյա տղամարդը հետընթացի ժամանակ պատահմամբ սպանել է իր կնոջը
4
Ովքեր էին Քանաքեռ ՀԷԿ-ում ջրահեղձ եղած տղաները. մանրամասներ
5
Նոր փոփոխություն ծառայության վերաբերյալ



