Ինչպե՞ս պայքարել ատամի քարերի դեմ
ԼԱՅՖԱտամնաքարերի դեմ պայքարի կարևորագույն բաղկացուցիչն է բերանի խոռոչի անձնական հիգիենայի ճիշտ պահպանումը` այն է օրեկան երկու անգամ` առավոտյան սնունդ ընդունելուց հետո և երեկոյան`վերջին սննդընդունումից հետո բերանի խոռոչի ճիշտ մաքրումը ատամնախոզանակով, ատամի մածուկով և ատամնաթելերով:
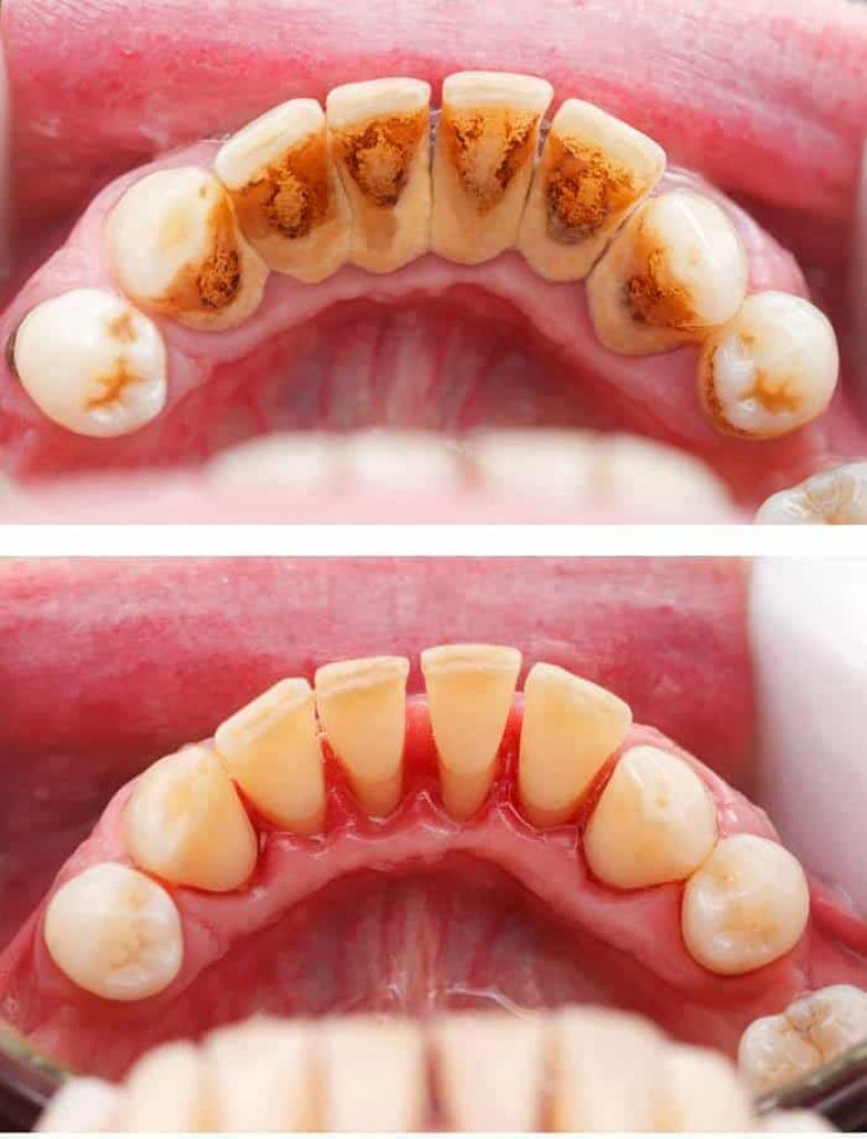
Տարեկան 2 անգամ անհրաժեշտ է կատարել պրոֆեսիոնալ հիգիենա, որը կատարում է բժիշկ-ստոմատոլոգը:
Եթե Ձեզ մոտ հակում կա քարերի շուտ առաջացման, բժշկին անհրաժեշտ է այցելել ավելի հաճախ: Ատամնաքարերը բավականին «ամուր են կպած» լինում ատամների մակերեսին, այդ թվում նաև ատամների միջև:
Ուստի ատամի թելը (ֆլոս) կհեռացնի հիմնականում սննդամնացորդները, բայց ոչ՝ ատամնաքարերը:
Ատամնաքարերը միջատամնային տարածությունից հեռացվում են նախ հատուկ գործիքով, հետո ատամների հարևան մակերեսները հղկվում են հատուկ “հղկաթղթերով”(շտրիպսներով):



